다음 내용이 궁금하다면?
불편하시다면 뒤로 가기를 눌러주세요
중고생 5만여명 분석…"산만함 심해 넘어지거나 부딪혀 치아 깨짐 많아"

[강민지 제작] 일러스트
(서울=연합뉴스) 김길원 기자 = 요즘 청소년들의 스마트폰 과의존 현상이 갈수록 심각해지는 추세다.
과학기술정보통신부가 최근 내놓은 디지털 정보격차·웹 접근성·스마트폰 과의존 실태조사 결과에 따르면 지난해 국내 청소년의 스마트폰 과의존 위험군(고위험군 및 잠재적 위험군) 비율은 42.6%로, 전년 대비 2.5%포인트 증가했다.
청소년 5명 중 2명 이상이 스마트폰에 과도하게 의존하고 있고 그 정도도 점점 심해지고 있다는 것이다.
문제는 청소년기 스마트폰 과의존이 심해질수록 다양한 건강 문제로 이어질 위험이 커진다는 점이다.
스마트폰 화면에 과도하게 집중하는 데서 비롯되는 안구건조증이나 시력 저하 등의 눈 건강은 물론 거북목증후군, 비만, 수면 부족, 중독, 골절, 손·어깨 통증 등이 지금까지 연구에서 스마트폰 과의존과 연관성이 큰 것으로 확인된 질환이다.
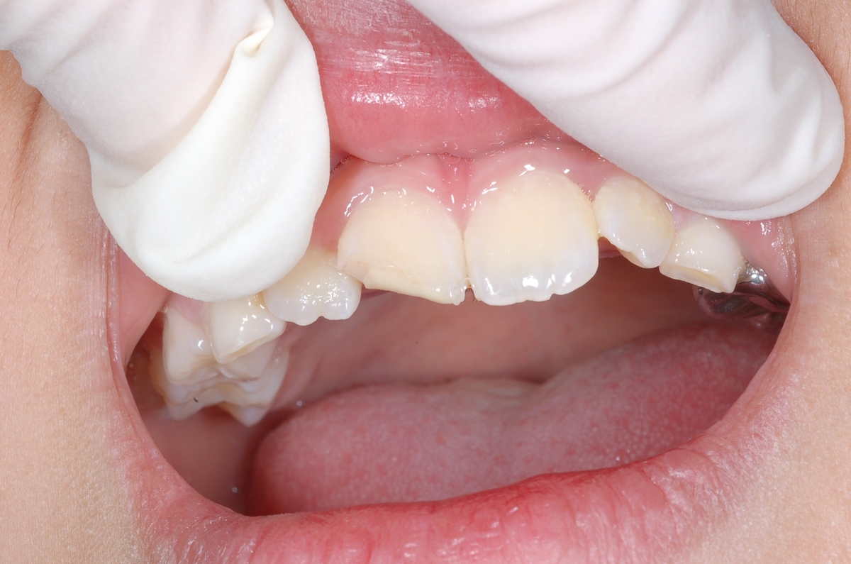
최근에는 이에 더해 스마트폰을 과도하게 사용하는 청소년에게서 치아 손상 발생률이 높다는 연구 결과도 제시됐디.
경희대치과병원 소아치과 연구팀(채용권·남옥형·이효설·최성철 교수, 류성원 전공의)은 2023년 한국청소년건강행태조사(KYRBS)에 참여한 전국 중고생 5만2천875명의 데이터를 분석한 결과 청소년기 스마트폰 과다 사용이 외상성 치아 손상(파절)의 위험을 높이는 것으로 나타났다고 28일 밝혔다.
이 연구 결과는 '국제소아치과학술지'(International Journal of Paediatric Dentistry) 최신호에 실렸다.
파절은 외부 충격으로 인해 치아 일부가 깨지는 것을 말한다.
연구팀은 청소년의 스마트폰 사용 시간이 치아 파절에 미치는 영향을 보기 위해 연구 대상 청소년들의 성별, 스마트폰 사용 시간, 운동 빈도, 경제·사회적 배경 등을 종합적으로 분석했다.

[경희의료원 제공]
그 결과 스마트폰 사용 시간이 길수록 치아 파절을 경험한 비율이 높아지는 경향을 보였다.
하루 평균 스마트폰 사용 시간에 따라 총 4개 그룹으로 나눴을 때 치아 파절 경험률은 사용 시간이 가장 짧은 그룹(하루 평균 2시간 4분 미만)에서 9.3%였지만 사용 시간이 가장 긴 그룹(하루 평균 8시간 9분 초과)은 13.6%로 1.5 배가량 많았다.
연구팀은 스마트폰 사용 시간과 치아 파절 사이에 이런 연관성이 관찰되는 건 스마트폰 과의존으로 인한 낙상이나 충돌 등의 외상 사고가 그만큼 자주 발생하기 때문으로 추정했다.
특히 청소년의 경우 스마트폰을 사용할 때 산만함이 심해 넘어지거나 부딪히는 과정에서 치아 파절과 같은 신체적 손상으로 이어질 위험이 더 크다는 게 연구팀의 지적이다.
남옥형 교수는 "과도한 스마트폰 사용이 집중력 저하나 정서적인 문제를 넘어 시각적, 청각적 주의력에 영향을 미쳐 낙상, 충돌 등의 외상 사고로 인한 치아 파절 발생 위험을 높일 수 있음을 보여주는 연구 결과"라고 설명했다.
이어 "청소년기에 발생한 치아 파절은 성장기에 (음식물을 씹는) 저작 기능 약화 등 구강건강에 장기적으로 나쁜 영향을 줄 수 있다"며 "외상 위험을 줄이기 위해서라도 청소년기 스마트폰 사용을 줄이고 건강한 사용 습관을 기르도록 가정과 학교 등 사회 전반의 관심과 노력이 필요하다"고 강조했다.
bio@yna.co.kr
Copyright 연합뉴스 All rights reserved. 무단 전재 및 재배포 금지.
인기상품 확인하고 계속 읽어보세요!
원치 않을 경우 뒤로가기를 눌러주세요.
